Interstitial Lung Disease Highly Prevalent in Late-Stage Systemic Sclerosis Patients: Study

11/14/2024
A new study published in the journal of Arthritis & Rheumatology showed that interstitial lung disease (ILD) can occur in people with late-stage systemic sclerosis (SSc). Systemic sclerosis is a clinically diverse illness marked by intricate interactions between fibrosis, vasculopathy, and immunity. The skin, gastrointestinal tract, lungs, kidneys, and heart are among the organ systems that are impacted by this. Up to 60% of the mortality linked to SSc is caused by the two most prevalent pulmonary manifestations of the illness, interstitial lung disease and pulmonary arterial hypertension (PAH).
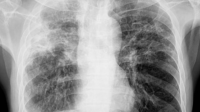
ILD in patients with SSc is usually characterized by bilateral, ground-glass opacities, lower-lobe predominant reticulations, and occasionally honeycombing when seen on high-resolution computed tomography (HRCT). Because mild ILD patients may not exhibit any symptoms in the early stages of the illness, they might not have pulmonary function tests or diagnostic radiography done until they start to express symptoms like dyspnea upon exercise and a persistent cough. On late presentations of ILD, nothing is clear. Thus, the team led by Sabrina Hoa carried out this investigation to describe the incidence, risk factors, and consequences of late-onset SSc-ILD.
The participants without common ILD who were enrolled in the Canadian Scleroderma Research Group (CSRG) cohort between 2004 and 2020 were included. The HRCT was used to assess the incidence and risk variables for ILD based on the length of the illness, which was above (late) and below (early) 7 years from the first non-Raynaud presentation. Multivariable Cox models and Kaplan-Meier models were employed to compare the risk of ILD progression.
Incident ILD occurred in 199 patients (21%) of the total 969 patients over a median of 2.4 [1.2, 4.3] years. When compared to earlier SSc, the incidence rate in late SSc was lower. Male sex, myositis, diffuse subtype, anti-topoisomerase I autoantibodies, and elevated C-reactive protein levels were risk factors for incident ILD.
Arthritis and anti-RNA-polymerase III autoantibodies were more common in patients with late-onset ILD, and they were also less likely to be White. The degree of lung disease was comparable for SSc-ILD with late and early start. Also, the rates of progression for SSc-ILD with late and early onsets were comparable. Overall, the findings of this study support that ILD may manifest in in late SSc patients. The risk variables and rates of progression overlapped with earlier-onset SSc-ILD.
Source:
Hoa, S., Berger, C., Lahmek, N., Larche, M., Osman, M., Choi, M., Pope, J., Thorne, C., & Hudson, M. (2024). Characterisation of incident interstitial lung disease in late systemic sclerosis. In Arthritis & Rheumatology. Wiley. https://doi.org/10.1002/art.43051
